Vinheta clínica inicial (o caso que não pode passar batido)
Paciente masculino, 78 anos, previamente independente (ABVD e AIVD preservadas), sem história de hipertensão arterial significativa. Apresenta comprometimento cognitivo leve amnéstico em seguimento ambulatorial. Dá entrada no pronto atendimento após episódio súbito de fraqueza em membro superior direito associada a dificuldade para nomeação, com resolução parcial em cerca de 40 minutos.
A TC de crânio evidencia hemorragia intracerebral lobar parietal esquerda, sem acometimento profundo. Pressão arterial na admissão: 135/80 mmHg. O paciente não usa anticoagulantes, porém faz uso crônico de AAS 100 mg/dia por “prevenção cardiovascular”.
A ressonância magnética do encéfalo com SWI demonstra:
- Múltiplas micro-hemorragias corticais bilaterais
- Siderose cortical superficial
- Ausência de lesões profundas típicas de angiopatia hipertensiva
À luz dos critérios de Boston, estabelece-se o diagnóstico de angiopatia amiloide cerebral (AAC) provável.
O que é a Angiopatia Amiloide Cerebral (AAC)
A angiopatia amiloide cerebral é uma doença dos pequenos vasos cerebrais, caracterizada pelo depósito de β-amiloide (Aβ) nas paredes de artérias corticais e leptomeníngeas. É fortemente associada ao envelhecimento e constitui uma das principais causas de hemorragia intracerebral lobar espontânea no idoso, frequentemente coexistindo com a doença de Alzheimer.
O grande desafio clínico não é apenas reconhecê-la, mas diagnosticá-la corretamente e conduzir o paciente evitando iatrogenias, sobretudo relacionadas a antitrombóticos.
Quando suspeitar clinicamente de AAC
A suspeita deve ser imediata diante de:
- Idoso com hemorragia intracerebral lobar, especialmente recorrente
- Hemorragia cerebral sem hipertensão arterial grave
- Episódios neurológicos focais transitórios (AIT-like), estereotipados
- Declínio cognitivo progressivo ou Alzheimer associado
- Hemorragia subaracnoidea convexa ou crises epilépticas focais tardias
Quadro – Alerta Clínico
Idoso + sangramento lobar + PA não elevada = pense em AAC até prova em contrário
Como diagnosticar a Angiopatia Amiloide Cerebral (ponto central)
O diagnóstico da AAC é clínico-radiológico, baseado principalmente em ressonância magnética e nos critérios de Boston.
Neuroimagem: o verdadeiro pilar
A RM de encéfalo, idealmente com SWI ou T2*, é indispensável. Os achados típicos incluem:
- Micro-hemorragias corticais ou subcorticais lobares, poupando tálamo e núcleos da base
- Siderose cortical superficial (altamente sugestiva)
- Hemorragias lobares antigas em diferentes estágios
- Ausência do padrão profundo da angiopatia hipertensiva
A TC é útil no cenário agudo, mas não caracteriza AAC.
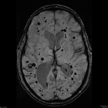
Imagem 1

Imagem 1:RM de encéfalo em sequência SWI/T2* mostrando múltiplas micro-hemorragias puntiformes lobares, predominantemente corticais e subcorticais, bilateralmente.Há poupança relativa de núcleos da base e tálamo, sem padrão profundo hipertensivo.Achados altamente sugestivos de angiopatia amiloide cerebral, com elevado risco de recorrência hemorrágica.
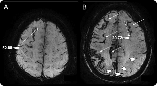
Imagem 2

Imagem 2: A imagem demonstra um padrão radiológico clássico de angiopatia amiloide cerebral, caracterizado por hemorragia lobar, micro-hemorragias corticais múltiplas e siderose cortical superficial, preenchendo critérios para AAC provável e com implicações terapêuticas críticas, sobretudo no que diz respeito à evitação de terapias antitrombóticas.
Fonte: https://www.alzforum.org/news/research-news/alzheimers-disease-linked-superficial-siderosis-what-does-it-mean
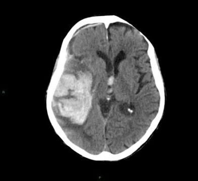
Imagem 3
Imagem 3: TC de crânio sem contraste mostrando hemorragia intracerebral lobar extensa (provavelmente fronto-parietal), hiperdensa, com efeito de massa local e discreta compressão do ventrículo lateral adjacente.
Não há predomínio de sangramento profundo (tálamo/núcleos da base).Padrão compatível com hemorragia lobar espontânea, sugestiva de angiopatia amiloide cerebral no idoso, no contexto clínico apropriado.
Fonte: https://radiopaedia.org/cases/cerebral-amyloid-angiopathy-associated-lobar-intracerebral-haemorrhage-19?case_id=cerebral-amyloid-angiopathy-associated-lobar-intracerebral-haemorrhage-19&lang=gb
Critérios de Boston (essência para prática e prova)
- AAC provável: idade ≥55 anos + múltiplas hemorragias lobares e/ou siderose cortical superficial, sem outra causa
- AAC possível: único sangramento lobar típico
- AAC definitiva: confirmação histopatológica (rara na prática)
Quadro – Pérola Diagnóstica
RM com micro-hemorragias corticais + siderose superficial praticamente fecha o diagnóstico.
PET amiloide e LCR
- PET amiloide: pode identificar depósitos de Aβ, uso restrito à pesquisa
- LCR: redução de Aβ42 pode ocorrer, mas não é exame de rotina
Diagnósticos diferenciais obrigatórios
- Angiopatia hipertensiva
- Malformações vasculares
- Tumores hemorrágicos
- Vasculites do SNC
- Coagulopatias / anticoagulação como causa primária
Como tratar a Angiopatia Amiloide Cerebral
Até o momento, não existe terapia modificadora da doença. O tratamento baseia-se em prevenção de recorrência hemorrágica e manejo das complicações.
Prevenção de novas hemorragias (o ponto mais crítico)
- Evitar anticoagulantes orais, sempre que possível
- Evitar antiagregantes plaquetários, sobretudo em prevenção primária
- Controle rigoroso da pressão arterial, mesmo em não hipertensos clássicos
Quadro Matador – Regra de Ouro
AAC = alto risco hemorrágico → a omissão de antitrombóticos muitas vezes salva o paciente.
Antiagregantes plaquetários na AAC
❌ Quando NÃO usar
- História de hemorragia intracerebral lobar por AAC
- Siderose cortical superficial
- Prevenção primária cardiovascular (AAS “profilático”)
- Indicações frágeis ou discutíveis
👉 No caso clínico: suspender AAS.
⚠️ Quando pode ser considerado (exceções)
- Prevenção secundária obrigatória:
- Stent coronariano recente
- Síndrome coronariana aguda recente
- Preferir monoterapia, pelo menor tempo possível
- Evitar dupla antiagregação
Anticoagulantes na Angiopatia Amiloide Cerebral
❌ Quando NÃO usar (regra prática)
- AAC com hemorragia lobar prévia
- Múltiplas micro-hemorragias lobares
- Siderose cortical superficial
- FA com CHA₂DS₂-VASc moderado, mas risco hemorrágico extremo
Quadro – Prova Geraitria
AAC é uma das principais contraindicações relativas (frequentemente absolutas) à anticoagulação.
⚠️ Quando pode ser considerada (situações raríssimas)
- Risco tromboembólico extremamente elevado:
- Válvula mecânica
- Trombose recorrente com risco vital
- Decisão multidisciplinar
- Menor dose eficaz, monitorização rigorosa
- Considerar oclusão de apêndice atrial
O que NÃO fazer (armadilhas clássicas)
- Tratar AAC como AVC hipertensivo comum
- Anticoagular automaticamente FA sem ponderar risco hemorrágico
- Solicitar exames invasivos sem impacto na conduta
Mensagem final – MedUpToDate
A angiopatia amiloide cerebral deve ser sempre lembrada no idoso com hemorragia lobar, especialmente na ausência de hipertensão grave. O diagnóstico é clínico-radiológico, sustentado por RM e critérios de Boston, e a condução exige prudência extrema com antiagregantes e anticoagulantes. Reconhecer a AAC é fundamental para evitar iatrogenias potencialmente catastróficas e oferecer um cuidado seguro ao paciente idoso.
Revisão em infográfico
